تصویربرداری توموگرافی کامپیوتری (Computed Tomography) یا همان سیتیاسکن، یکی از ارکان حیاتی در تشخیصهای پزشکی مدرن، بهویژه در حوزه نورولوژی و جراحی مغز و اعصاب است. زمانی که بیمار با علائمی نظیر سردردهای مزمن، سرگیجه، تروما یا تغییرات سطح هوشیاری مراجعه میکند، پزشکان اغلب به عنوان خط اول تشخیص، درخواست سیتیاسکن مغز میدهند. اما درک اینکه یک سی تی اسکن مغز سالم دقیقاً چه ویژگیهایی دارد و چگونه از تصاویر غیرطبیعی تمایز داده میشود، نیازمند دانش عمیقی از آناتومی، فیزیک پرتوها و فیزیولوژی بافت مغز است. یک تصویر سالم، صرفاً به معنای “نبودن تومور” نیست؛ بلکه مجموعهای از تناسبات هندسی، دانسیتههای بافتی و تقارنهای آناتومیک باید برقرار باشد تا رادیولوژیست مهر تایید بر سلامت مغز بزند.
در بررسی علمی عکس سی تی اسکن مغز سالم، ما با مفاهیمی فراتر از یک عکس سیاه و سفید روبرو هستیم. ما با “واحدهای هانسفیلد” (Hounsfield Units) سر و کار داریم که میزان جذب اشعه ایکس توسط بافتهای مختلف را نشان میدهند. در یک مغز سالم، تفکیک ظریف میان ماده خاکستری (Gray Matter) و ماده سفید (White Matter)، وضعیت بطنهای مغزی، باز بودن سیسترنها و عدم وجود شیفت میدلاین (Midline Shift)، همگی نشانگرهایی هستند که سلامت سیستم عصبی مرکزی را تایید میکنند. شناخت این الگوهای نرمال برای دانشجویان پزشکی، رزیدنتها و حتی بیمارانی که به دنبال درک گزارش تصویربرداری خود هستند، بسیار حائز اهمیت است.
اهمیت شناخت الگوی نرمال زمانی مشخص میشود که بدانیم بسیاری از تغییرات جزیی ممکن است با تغییرات وابسته به سن (Age-related changes) اشتباه گرفته شوند. برای مثال، آتروفی خفیف مغزی در یک فرد ۸۰ ساله ممکن است بخشی از یک سی تی اسکن مغز سالم تلقی شود، در حالی که همان تصویر برای یک جوان ۲۰ ساله کاملاً پاتولوژیک است. در این مقاله تحلیلی، ما قصد داریم با کالبدشکافی لایه به لایه تصاویر سیتیاسکن، استانداردهای یک مغز سالم را بررسی کنیم و به شما نشان دهیم که پزشکان چگونه با نگاه به این تصاویر خاکستری، سلامت پیچیدهترین عضو بدن را ارزیابی میکنند.
آنچه می خوانید
مبانی فیزیک تصویربرداری و مفهوم دانسیته در سیتیاسکن مغز
برای درک عمیق عکس سی تی اسکن مغز سالم، ابتدا باید زبان دستگاه سیتیاسکن را بیاموزیم. این زبان، زبان “دانسیته” یا چگالی است. دستگاه سیتیاسکن با ارسال پرتوهای ایکس از زوایای مختلف و پردازش کامپیوتری میزان جذب این پرتوها، تصویری ماتریسی میسازد. معیار سنجش این چگالی، واحد هانسفیلد (HU) است.
در یک اسکن مغز سالم، هر بافت عدد هانسفیلد مشخصی دارد:
- استخوان جمجمه: به دلیل تراکم کلسیم بالا، بیشترین جذب اشعه را دارد و به رنگ کاملاً سفید (Hyperdense) دیده میشود. عدد هانسفیلد آن معمولاً بالای ۱۰۰۰+ است.
- هوا: کمترین جذب را دارد و در سینوسهای پارانازال و سلولهای هوایی ماستوئید به رنگ کاملاً سیاه (Hypodense) دیده میشود. عدد هانسفیلد آن حدود ۱۰۰۰- است.
- مایع مغزی-نخاعی (CSF): مایعی که درون بطنها و فضای سابآراکنوئید جریان دارد، دانسیتهای نزدیک به آب دارد (حدود ۰ تا ۱۵ HU) و در تصویر به رنگ سیاه (اما نه به سیاهی هوا) دیده میشود.
- بافت مغز: نکته کلیدی در تشخیص سی تی اسکن مغز سالم، تفکیک بافت مغز است. ماده سفید مغز (شامل اکسونهای میلیندار) به دلیل محتوای چربی بالاتر، کمی تیرهتر از ماده خاکستری دیده میشود (حدود ۲۰ تا ۳۰ HU). در مقابل، ماده خاکستری (شامل اجسام سلولی نورونها) کمی روشنتر است (حدود ۳۵ تا ۴۵ HU).

حفظ این کنتراست ظریف بین ماده سفید و خاکستری بسیار حیاتی است. در شرایطی مانند سکته مغزی ایسکمیک (CVA) یا ادم مغزی، این تمایز از بین میرود و بافتها اصطلاحاً “محو” میشوند. بنابراین، در یک عکس سالم، شما باید بتوانید مرزهای شکنجها (Gyri) و شیارها (Sulci) را تا حد خوبی تشخیص دهید. هرگونه تغییر در این اعداد هانسفیلد، مثلاً وجود لکههای سفید در بافت مغز (که میتواند نشاندهنده خونریزی یا کلسیفیکاسیون باشد) یا لکههای سیاه غیرعادی (نشاندهنده کیست، تومور یا سکته قدیمی)، الگوی سالم را برهم میزند.
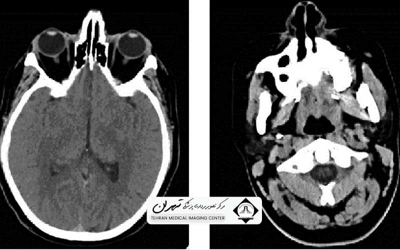
آناتومی لایهای مغز سالم در برشهای آگزیال
پزشکان رادیولوژیست معمولاً سیتیاسکن را در برشهای آگزیال (Axial) یا عرضی بررسی میکنند. تصور کنید مغز را مانند یک نان تست به لایههای افقی تقسیم کردهایم. بررسی سی تی اسکن مغز سالم معمولاً از قاعده جمجمه (Base of Skull) شروع شده و به سمت قله سر (Vertex) حرکت میکند. بیایید مهمترین لایهها در یک اسکن نرمال را بررسی کنیم:
لایه اول: حفره خلفی (Posterior Fossa)
در پایینترین برشها، ساختارهای حیاتی ساقه مغز (Brainstem) و مخچه (Cerebellum) دیده میشوند.
- مخچه: باید دارای دو نیمکره متقارن باشد. بافت مخچه نباید فشردگی داشته باشد.
- بطن چهارم: یک فضای کوچک حاوی مایع (سیاه رنگ) که در خط وسط قرار دارد. در یک مغز سالم، بطن چهارم باید باز باشد و فشرده نشده باشد. بسته بودن این بطن میتواند نشاندهنده فشار مغزی بالا یا تومور باشد.
- سیسترنهای قاعده ای: فضاهای حاوی مایع در اطراف ساقه مغز که باید کاملاً باز و قابل رویت باشند. محو شدن این فضاها در موارد تروما، نشانهی خطرناکی از فتق مغزی است.
لایه دوم: سطح سوپراسلار (Suprasellar Level)
کمی بالاتر، به منطقهای میرسیم که شبیه یک ستاره پنج پر است. این “ستاره” در واقع سیسترن سوپراسلار است که حاوی مایع مغزی نخاعی و حلقه ویلیس (شریانهای اصلی مغز) میباشد. در یک عکس سی تی اسکن مغز سالم، این ستاره باید کاملاً متقارن و پر از مایع سیاه رنگ باشد. عدم تقارن یا پر شدن این فضا با رنگ سفید، نشانه خونریزی سابآراکنوئید (SAH) است.
لایه سوم: عقدههای قاعدهای (Basal Ganglia Level)
این شاید معروفترین برش در سیتیاسکن باشد. در اینجا ساختارهای عمقی مغز شامل تالاموس، هسته دمدار (Caudate Nucleus) و کپسول داخلی دیده میشوند.
- شکل ظاهری: اغلب به شکل یک “صورت خندان” تشبیه میشود که بطنهای جانبی (شاخه قدامی) شبیه چشمها هستند.
- تقارن: هستههای دمدار و تالاموس باید در دو طرف خط وسط کاملاً قرینه باشند. کپسول داخلی به صورت یک نوار تیرهتر (V شکل) بین این هستهها دیده میشود. شفافیت و سلامت کپسول داخلی بسیار مهم است زیرا گذرگاه اصلی رشتههای حرکتی است.

لایه چهارم: سطح بطنهای جانبی (Ventricular Level)
در این سطح، تنه اصلی بطنهای جانبی دیده میشود. در افراد سالم، این بطنها باید اندازه متناسبی داشته باشند. بزرگی بیش از حد آنها نشانه هیدروسفالی و کوچکی بیش از حد (بهویژه پس از تروما) نشانه ورم مغزی است. شبکه کوروئید (Choroid Plexus) که مسئول تولید مایع مغزی نخاعی است، اغلب در این ناحیه دیده میشود و در بزرگسالان بهطور طبیعی کلسیمی و سفید رنگ است (که نباید با خونریزی اشتباه شود).
بررسی سیستم بطنی و فضاهای مایع مغزی-نخاعی در حالت نرمال
یکی از شاخصهای اصلی در تشخیص سی تی اسکن مغز سالم، وضعیت سیستم هیدرولیک مغز است. مایع مغزی-نخاعی (CSF) نقش ضربهگیر و تغذیهکننده را دارد. در تصاویر سیتیاسکن، تمامی فضاهای حاوی CSF باید سیاه رنگ (Hypodense) باشند.
ویژگیهای سیستم بطنی سالم:
- خط وسط (Midline): ساختارهای مغزی باید نسبت به خط وسطی که جمجمه را به دو نیمه چپ و راست تقسیم میکند، قرینه باشند. اگر بطنها به یک سمت منحرف شده باشند (Midline Shift)، این یک اورژانس پزشکی است که نشاندهنده وجود یک ضایعه فضاگیر مثل تومور یا خونریزی در سمت مقابل است. در مغز سالم، فالکس سربری (داس مغزی) دقیقاً در وسط قرار دارد.
- سایز بطنها: سایز بطنها با سن ارتباط مستقیم دارد. در جوانان، بطنها باریک و کوچک هستند. در سالمندان، به دلیل فرآیند طبیعی پیری و از دست رفتن حجم بافت مغز، بطنها گشادتر میشوند (Ex-vacuo dilation). پزشک با در نظر گرفتن سن بیمار، نرمال بودن سایز بطن را ارزیابی میکند.
- شیارهای مغزی (Sulci): شیارها، فضاهای بین چینخوردگیهای مغز هستند. این فضاها نیز حاوی مایع CSF بوده و باید سیاه دیده شوند. در یک مغز سالم و جوان، این شیارها ظریف هستند. محو شدن شیارها (Sulcal effacement) نشانه ورم مغزی است. در مقابل، عمیق و پهن شدن بیش از حد آنها نشانه آتروفی یا تحلیل مغز است.
تفاوت ماده خاکستری و سفید: کلید تشخیص سلامت بافت پارانشیم
پارانشیم مغز (بافت عملکردی) از دو بخش اصلی تشکیل شده است که تفکیک آنها در عکس سی تی اسکن مغز سالم نشاندهنده کیفیت خوب تصویر و سلامت بافت است.
- ماده خاکستری (Gray Matter): در قشر مغز (لایه بیرونی) و هستههای عمقی قرار دارد. این بخش محل پردازش اطلاعات است. در سیتیاسکن، کمی روشنتر (سفیدتر) دیده میشود.
- ماده سفید (White Matter): در زیر قشر مغز قرار دارد و وظیفه انتقال پیامها را بر عهده دارد. به دلیل وجود چربی (میلین)، در سیتیاسکن کمی تیرهتر (سیاه تر) از ماده خاکستری دیده میشود.
چرا این تفکیک مهم است؟ از دست رفتن تمایز ماده سفید و خاکستری (Loss of Gray-White Matter Differentiation) یکی از اولین نشانههای سکته مغزی ایسکمیک حاد است. زمانی که خونرسانی به بخشی از مغز قطع میشود، سلولها متورم شده و چگالی آنها تغییر میکند، در نتیجه مرز بین این دو ناحیه محو میشود. بنابراین، وقتی رادیولوژیست در گزارش مینویسد “تمایز ماده سفید و خاکستری حفظ شده است”، این یک نشانه بسیار مثبت از سلامت بافت مغز است.

برای درک بهتر نحوه تفسیر این تغییرات و خواندن اصطلاحات تخصصی در گزارشهای رادیولوژی، پیشنهاد میکنیم مقاله جامع ما درباره تفسیر جواب سی تی اسکن را مطالعه کنید. در این راهنما، به تفصیل توضیح دادهایم که چگونه پزشکان از این الگوها برای نتیجهگیری استفاده میکنند.
مقایسه پروتکلهای مغز با سایر اندامها و نکات تکنیکی
اگرچه اصول فیزیکی سیتیاسکن در تمام بدن یکسان است، اما پروتکلهای تصویربرداری مغز تفاوتهای اساسی با سایر اندامها، مثلاً شکم و لگن دارد.
در سیتیاسکن مغز، معمولاً زاویه تابش (Gantry tilt) طوری تنظیم میشود که از تابش مستقیم اشعه به لنز چشم جلوگیری شود و آرتیفکتهای ناشی از استخوانهای قاعده جمجمه به حداقل برسد. همچنین، اکثر اسکنهای اورژانسی مغز “بدون تزریق” ماده حاجب انجام میشوند، زیرا هدف اصلی تشخیص خونریزی است و خون تازه خود به رنگ سفید دیده میشود؛ تزریق ماده حاجب (که آن هم سفید است) میتواند تشخیص خونریزی را دشوار کند.
اما در مقابل، برای بررسی دقیق احشای شکمی، پروتکلها متفاوت است. برای مثال، در سی تی اسکن شکم و لگن، استفاده از کنتراست خوراکی و وریدی بسیار رایجتر است تا تمایز بین رودهها و سایر ارگانها مشخص شود. همچنین آمادگیهای پیش از آزمون نیز متفاوت است. در حالی که برای سیتیاسکن ساده مغز آمادگی خاصی لازم نیست، آمادگی قبل از سی تی اسکن شکم و لگن شامل ناشتایی و مصرف مایعات خاص است.
نکته دیگر در مورد “تزریق” است. در موارد خاصی مانند شک به تومور مغزی یا عفونت (آبسه)، سیتیاسکن مغز “با تزریق” انجام میشود. در این حالت، ماده حاجب وارد عروق شده و اگر سد خونی-مغزی (Blood-Brain Barrier) در اثر تومور آسیب دیده باشد، ماده حاجب به بافت نشت کرده و ضایعه را روشن میکند. این مکانیسم شباهتهایی با سی تی اسکن شکم و لگن با تزریق دارد، جایی که الگوهای جذب ماده حاجب به تشخیص ماهیت تودههای کبدی یا کلیوی کمک میکند. اما در یک مغز سالم، سد خونی-مغزی سالم است و اجازه ورود ماده حاجب به بافت مغز را نمیدهد، بنابراین پارانشیم مغز حتی بعد از تزریق هم تغییر رنگ چشمگیری نمیدهد و فقط رگها روشن میشوند.
تغییرات وابسته به سن و واریانتهای نرمال در سیتیاسکن
یکی از چالشهای بزرگ در تشخیص سی تی اسکن مغز سالم، وجود “واریانتهای نرمال” (Normal Variants) است. اینها یافتههایی هستند که ممکن است در نگاه اول غیرطبیعی به نظر برسند، اما در واقع بخشی از ساختار طبیعی بدن فرد هستند یا با افزایش سن ایجاد شدهاند و بیماری محسوب نمیشوند.
- کلسیفیکاسیونها (Calcifications):
- شبکه کوروئید: دیدن لکههای سفید در داخل بطنهای جانبی در بزرگسالان بسیار شایع و کاملاً نرمال است.
- غده پینه آل (Pineal Gland): این غده کوچک در خط وسط نیز اغلب دچار رسوب کلسیم میشود و به صورت یک نقطه سفید دیده میشود.
- هستههای قاعدهای: در افراد مسن، گاهی رسوبات کلسیم در گلوبوس پالیدوس دیده میشود (سندرم فار)، که اگر دو طرفه و قرینه باشد و علائمی نداشته باشد، اغلب بیاهمیت تلقی میشود.
- آتروفی (Atrophy): همانطور که پوست صورت با افزایش سن چروک میشود، مغز نیز حجم خود را از دست میدهد. در یک فرد ۷۰ ساله، دیدن شیارهای مغزی عمیق و بطنهای گشادتر نسبت به یک فرد ۲۰ ساله، نشانه بیماری آلزایمر نیست، بلکه بخشی از روند پیری طبیعی است و همچنان میتواند به عنوان یک سی تی اسکن مغز سالم (نسبت به سن) گزارش شود.
- مگا سیسترنا مگنا (Mega Cisterna Magna): گاهی اوقات فضای حاوی مایع در پشت مخچه بزرگتر از حد معمول است. اگر فشاری بر مخچه وارد نکند، این فقط یک واریانت آناتومیک است و خطری ندارد.
تشخیص این موارد نیازمند تجربه بالای رادیولوژیست است تا بیجهت باعث نگرانی بیمار نشود.
الگوریتم تفسیر سیستماتیک برای تشخیص نرمال بودن اسکن
پزشکان و دانشجویان پزشکی برای اینکه مطمئن شوند هیچ نکتهای را در عکس سی تی اسکن مغز سالم از قلم نمیاندازند، اغلب از روشهای سیستماتیک یا “نمانیک” (Mnemonic) استفاده میکنند. یکی از معروفترین آنها روش “Blood Can Be Very Bad” است که حروف اول کلمات کلیدی را نشان میدهد:
- B (Blood – خون): اولین چیزی که بررسی میشود نبودِ خونریزی است. خون تازه در سیتیاسکن سفید است. رادیولوژیست تمام فضاها را برای یافتن هرگونه لکه سفید غیرعادی جستجو میکند. در مغز سالم، هیچ لکه سفیدِ خارج عروقی نباید وجود داشته باشد.
- C (Cisterns – سیسترنها): مخازن مایع مغزی نخاعی (مثل سیسترن سوپراسلار و کوادریژمینال) باید باز و حاوی مایع سیاه باشند. بسته بودن آنها نشانه ورم یا فتق مغزی است.
- B (Brain – بافت مغز): بررسی تقارن، تمایز ماده سفید و خاکستری و نبودِ توده (تومور). بافت مغز سالم باید یکنواخت و قرینه باشد.
- V (Ventricles – بطنها): بررسی سایز و شکل بطنها. آیا هیدروسفالی وجود دارد؟ آیا بطنها فشرده شدهاند؟ در حالت نرمال، بطنها باید متناسب با سن و قرینه باشند.
- B (Bone – استخوان): بررسی استخوانهای جمجمه برای شکستگی. استخوان سالم یکپارچه است. درزهای جمجمه (Sutures) نباید با شکستگی اشتباه گرفته شوند. شکستگیها معمولاً خطوط تیز و تیرهای هستند که از مسیرهای معمول آناتومیک تبعیت نمیکنند.
استفاده از این چکلیست تضمین میکند که تمامی اجزای حیاتی بررسی شدهاند. اگر تمام این ۵ مرحله طبیعی باشند، گزارش نهایی به عنوان “Normal Brain CT Scan” یا “Unremarkable study” صادر میشود.
جمعبندی نهایی
در نهایت، عکس سی تی اسکن مغز سالم تصویری است که هارمونی و تعادل در آن موج میزند. تقارن بین نیمکرههای راست و چپ، وضوح مرزهای آناتومیک، تناسب اندازه بطنها با سن فرد و عدم وجود ضایعات با دانسیته غیرطبیعی (خیلی سفید یا خیلی سیاه)، ارکان اصلی این سلامت تصویری هستند. درک این نکته ضروری است که “نرمال” بودن سیتیاسکن همیشه به معنای نبود مطلق بیماری نیست؛ برخی بیماریهای میکروسکوپی یا عملکردی (مانند میگرن یا مراحل اولیه اماس) ممکن است در سیتیاسکن دیده نشوند و نیاز به امآرآی داشته باشند. اما سیتیاسکن به عنوان ابزاری قدرتمند، سریع و در دسترس، خیال پزشک و بیمار را از بابت ضایعات بزرگ و خطرناک مانند خونریزیها، تومورهای حجیم و سکتههای حاد راحت میکند.
تشخیص مرز باریک بین “واریانتهای نرمال” و “پاتولوژیهای خفیف” هنر و علم رادیولوژیست است. همانطور که در این مقاله بررسی کردیم، عواملی مانند سن، تکنیک تصویربرداری و حتی سابقه پزشکی بیمار در تفسیر نهایی تاثیرگذارند. دانستن آناتومی لایهای مغز و فیزیک جذب اشعه ایکس، به ما کمک میکند تا با دیدی علمیتر به این تصاویر سیاه و خاکستری نگاه کنیم و پیچیدگی شگفتانگیز مغز انسان را تحسین کنیم.
اگر پزشک برای شما سیتیاسکن تجویز کرده است و نتیجه آن “نرمال” گزارش شده، این خبر بسیار خوبی است و نشان میدهد ساختار فیزیکی مغز شما از گزند آسیبهای ماکروسکوپی در امان مانده است. برای اطلاعات بیشتر در مورد سایر روشهای تصویربرداری و آمادگیهای لازم، میتوانید از بخشهای مختلف وبسایت ما دیدن کنید تا با آگاهی کامل مراحل درمانی خود را طی نمایید.

اطلاعات تماس
آدرس: تهران میدان فاطمی خیابان جویبار كوچه میرهادی غربی پلاك 27
تلفن های مرکز: 02188391670 | 02188391706 | 02188985586
سوالات متداول
آیا در عکس سی تی اسکن مغز سالم، سینوسها هم دیده میشوند؟
بله، در برشهای پایینی مغز، سینوسهای پیشانی (Frontal)، اسفنوئید و سلولهای هوایی ماستوئید دیده میشوند. در یک اسکن سالم، این سینوسها باید پر از هوا باشند که در سیتیاسکن به رنگ کاملاً سیاه (تیرهترین رنگ ممکن) دیده میشود. وجود هرگونه رنگ خاکستری یا سفید در سینوسها میتواند نشانه سینوزیت، پولیپ یا تجمع مایع باشد.
چرا با وجود اینکه سی تی اسکن مغز من سالم بود، هنوز سردرد دارم؟
سیتیاسکن ابزاری برای بررسی “ساختار” مغز است و میتواند ضایعات فیزیکی مانند تومور، خونریزی یا کیست را نشان دهد. بسیاری از سردردها مانند میگرن یا سردردهای تنشی، منشأ عملکردی یا شیمیایی دارند و تغییر ساختاری در مغز ایجاد نمیکنند که در سیتیاسکن دیده شود. سالم بودن اسکن به معنی رد کردن علل خطرناک سردرد است، نه انکار وجود درد.
آیا اشعه سیتیاسکن برای مغز خطرناک است؟
سیتیاسکن از اشعه ایکس استفاده میکند و میزان اشعه آن نسبت به عکس رادیولوژی ساده بیشتر است. با این حال، در دستگاههای مدرن، دوز اشعه به دقت کنترل میشود تا کمترین آسیب را داشته باشد. برای یک فرد بزرگسال، انجام یک نوبت سیتیاسکن مغز در شرایط ضروری پزشکی، خطری جدی محسوب نمیشود و فواید تشخیصی آن بسیار بیشتر از ریسک اندک اشعه است. اما همواره باید از انجام سیتیاسکنهای غیرضروری اجتناب کرد.
تفاوت ظاهری مغز کودکان با بزرگسالان در سی تی اسکن چیست؟
در نوزادان و کودکان خردسال، به دلیل اینکه فرآیند میلینسازی (تشکیل غلاف دور رشتههای عصبی) هنوز کامل نشده است، تمایز ماده سفید و خاکستری متفاوت از بزرگسالان است و ممکن است بافت مغز آبدارتر به نظر برسد. همچنین بطنهای مغزی و شیارها در کودکان معمولاً کوچکتر و فشردهتر از بزرگسالان هستند. رادیولوژیستها با آگاهی از این تفاوتهای تکاملی، اسکن کودکان را تفسیر میکنند.
آیا میتوان سکته مغزی را بلافاصله در سی تی اسکن تشخیص داد؟
در مورد خونریزی مغزی (سکته هموراژیک)، سیتیاسکن بلافاصله خون را به رنگ سفید نشان میدهد و بسیار حساس است. اما در مورد سکته ناشی از گرفتگی رگ (سکته ایسکمیک)، ممکن است در ۶ ساعت اول، عکس سی تی اسکن مغز کاملاً سالم و نرمال به نظر برسد. تغییرات بافتی ناشی از مرگ سلولها (تیره شدن بافت) معمولاً پس از گذشت چندین ساعت تا چند روز در سیتیاسکن آشکار میشود.








